Quand consulter en urgence ORL dans les Yvelines : guide pratique pour identifier les signes alarmants 13 février 2024
Tableau des maladies professionnelles: comprendre les risques et soutiens pour les aides à domicile 13 février 2024
Découverte de la Clinique Notre-Dame à Draguignan : Entre Innovation Médicale et Accueil Chaleureux 12 février 2024
Les mystères du lait maternel jaune: Comprendre les couleurs et leurs significations pour la santé de bébé 11 février 2024
Trouver le Meilleur Dentiste à Romenay: Votre Guide pour des Soins Dentaires de Qualité 11 février 2024
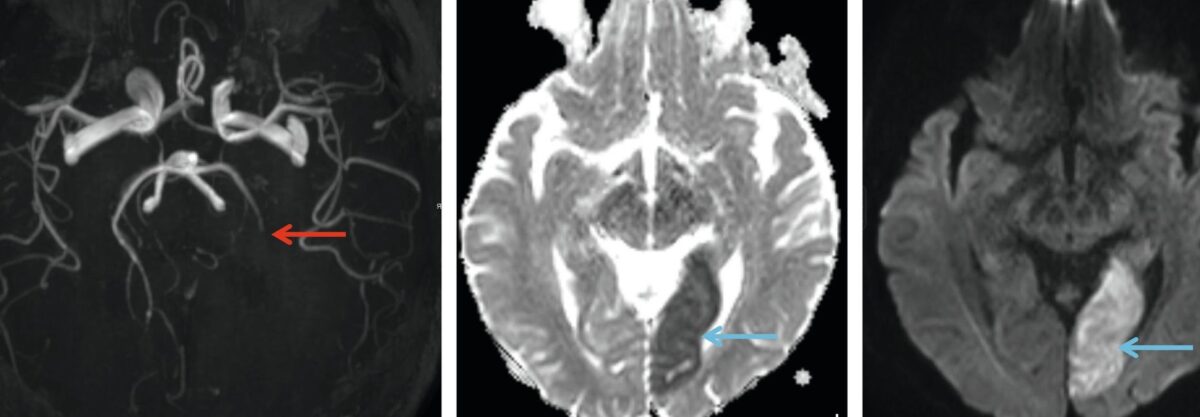
Scanner cérébral avec injection de contraste : Quels sont les avantages et quand est-il nécessaire ? 11 février 2024
Consultation chez un proctologue à Caen : Ce que vous devez savoir avant votre rendez-vous 9 février 2024